¿Qué son los leucocitos?
Los leucocitos son las células que se encargan de la defensa contra las infecciones, los glóbulos rojos transportan el oxígeno a los tejidos unido a la hemoglobina y las plaquetas participan en el proceso de coagulación que permite dejar de sangrar tras una herida o traumatismo.
En el hemograma se refleja el recuento total de leucocitos y la fórmula leucocitaria que expresa el valor absoluto y porcentual (como % del total de leucocitos) de cada uno de los tipos de glóbulos blancos presentes en sangre periférica:
- Neutrófilos: 54-62%
- Linfocitos: 25-33%
- Monocitos: 3-7%
- Eosinófilos: 1-3%
- Basófilos: 0-1%
Cada tipo de glóbulo blanco combate de manera específica un tipo diferente de infección: bacterias, hongos, parásitos o virus. Los eosinófilos regulan la respuesta alérgica y los basófilos liberan histamina e inician la respuesta alérgica. Dentro de los linfocitos hay los linfocitos B que fabrican anticuerpos, los linfocitos T y los linfocitos “natural killer”.
Valores altos de leucocitos
Hablamos de leucocitosis cuando el valor absoluto de leucocitos es mayor de 11000/mm3 (o lo que es lo mismo 11 x 103/µl o 11 x 109/L ) o hay un aumento del número de leucocitos en sangre periférica por encima de dos desviaciones estándar sobre la media de referencia para una persona sana de igual edad:
- Neutrofilia: >7700 neutrófilos/mm3
- Linfocitosis: >4000 linfocitos/mm3 (en mayores de 12 años).
- Monocitosis: >900 monocitos/mm3
- Eosinofilia: >500 eosinófilos/mm3
- Basofilia: >200 basófilos/mm3
Los valores de normalidad (tanto en porcentaje como en números absolutos) pueden variar ligeramente en cada laboratorio.
¿Cómo se detecta en sangre los leucocitos altos?
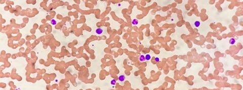
El hemograma se realiza con unos aparatos denominados analizadores hematológicos y es un proceso automático.Cuando el recuento es patológico se generan una serie de alarmas, ante las cuales se realiza un frotis sanguíneo, es decir, se extiende una gota de sangre del paciente sobre un cristal (portaobjetos), se tiñe y se estudia al microscopio; es lo que se conoce como “revisión manual de fórmula” y permite diagnosticar u orientar hacia la causa de la leucocitosis:
- Enfermedad hematológica
- Causa no hematológica (reactiva a una enfermedad de base, infección…):
La revisión al microscopio permite detectar:
- La presencia de blastos: células indiferenciadas inmaduras características de las leucemias agudas.
- La presencia de desviación a la izquierda: aparición en sangre periférica de promielocitos, mielocitos, metamielocitos y bandas (cayados) que son células precursoras de los neutrófilos y que normalmente no se visualizan en la sangre periférica aunque se considera normal la presencia aislada de cayados hasta un 1-2%.
- Las características morfológicas de las células sanguíneas: ver si son morfológicamente normales o atípicos.

¿Qué enfermedades causan leucocitos altos?
Enfermedad hematológica primaria
- Leucemia aguda: en general, las leucemias agudas presentan leucocitosis, que puede ser extrema, a expensas de blastos, con disminución de los glóbulos rojos (anemia) y disminución de plaquetas (trombopenia o plaquetopenia) ya que el crecimiento descontrolado de los blastos no permite la formación de las otras series en la médula ósea.
- Trastornos mieloproliferativos crónicos: como la leucemia mieloide crónica, policitemia vera , trombocitemia esencial . Suelen debutar con leucocitosis y/o aumento de glóbulos rojos y/o aumento de plaquetas con posible aumento de basófilos y de eosinófilos. Característicamente en la leucemia mieloide crónica se observan formas precursoras de los neutrófilos en sangre periférica.
- El síndrome hipereosinofílico cursa x con ≥1500 eosinófilos/mm3 .
- Síndromes mielodisplásicos: suelen cursar con leucopenia (disminución de leucocitos), anemia y trombopenia con rasgos dismórficos en los elementos sanguíneos pero en algunos casos se presentan con leucocitosis. La leucemia mielomonocítica crónica es una enfermedad mielodisplásica/mieloproliferativa que cursa con atipias morfológicas y monocitosis de ≥1000/mm3 o ≥10%.
- Causas de neutrofilia primaria: neutrofilia hereditaria, leucemia neutrofílica crónica…
- Síndrome linfoproliferativos crónicos: el más frecuente la leucemia linfática crónica. Suelen cursar con linfocitosis. En cada enfermedad los linfocitos tienen una morfología típica al microscopio.
En las leucemias tanto agudas como crónicas (especialmente en la leucemia mieloide crónica) el recuento puede llegar a ser >100.000/mm3.
Causas no hematológicas
Neutrofilia
- Puede aparecer como respuesta a infecciones (normalmente con valores de 15.000-25.000/mm3 y desviación izquierda), inflamación (artritis reumatoide, gota…), cáncer, daño tisular (infarto de miocardio, quemaduras extensas, postcirugía…), estrés o ejercicio intenso, administración de algunos fármacos (corticoides…), causas tóxicas o metabólicas o tras un sangrado. El tabaquismo también es una causa de neutrofilia.
- La neutrofilia puede ser fisiológica: se observa en los recién nacidos, durante el embarazo y el parto.
Linfocitosis
- Infecciones bacterianas (tuberculosis, sífilis, tosferina…), virus de Epstein-Barr (mononucleosis infecciosa), citomegalovirus, virus de la inmunodeficiencia humana (VIH) virus de la hepatitis….; en los llamados síndromes mononucleósicos, en el frotis de sangre periférica se suelen observar linfocitos grandes y atípicos (células linfomonocitarias). Secundaria a enfermedad autoinmune, linfocitosis B policlonal persistente, tabaquismo, ausencia de bazo, estrés por emergencia médica, causas endocrinológicas, reacciones de hipersensibilidad, ejercicio y fármacos (hidantoínas…).
Monocitosis
- Infecciones (paludismo, tuberculosis, brucelosis, leishmaniasis, sífilis, rickettsiosis…). enfermedades inflamatorias o autoinmunes, fármacos, en la fase de recuperación de la médula ósea tras quimioterapia…
- Embarazo.
Eosinofilia
- Infecciones (parasitarias, por hongos, VIH… ), trastornos alérgicos incluyendo asma, enfermedades reumatológicas inflamatorias (sarcoidosis….), linfomas, fármacos.
Basofilia
Es poco frecuente. En la práctica debe hacer sospechar síndrome mieloproliferativo, especialmente la leucemia mieloide crónica.
Valoración y tratamiento de los leucocitos altos
- Realizar historia clínica: sospecha de infección, presencia de enfermedades concomitantes, alteración aguda o crónica….
- Exploración clínica: la existencia de un hígado o bazo aumentados de tamaño o la presencia de adenopatías (ganglios inflamados) indican la necesidad de derivación para estudio. Normalmente se deriva al paciente al Servicio de Hematología.
- Revisión manual de fórmula y valoración del recuento de hematíes y plaquetas.
- Estudio de citometría de flujo: permite identificar y catalogar blastos y linfocitos.
- Mielograma (aspirado de médula ósea) con o sin biopsia de médula ósea: el mielograma consiste en extraer una muestra de médula ósea puncionando el esternón o la cresta ilíaca y la biopsia de médula ósea consiste en extraer un cilindro óseo de cresta ilíaca que contiene médula ósea en su interior. Es básico y obligado para el diagnóstico de las enfermedades hematológicas.
- El tratamiento va a depender de la causa que la provoque (tratar la infección, la inflamación…). Cada enfermedad hematológica tiene un tratamiento específico.
Lo que debes saber…
- La leucocitosis es el aumento en el número de leucocitos (glóbulos blancos) en la sangre, que son las células que se encargan de la defensa contra las infecciones.
- Cuando el recuento es patológico se generan una serie de alarmas, ante las cuales se realiza un frotis sanguíneo, es lo que se conoce como “revisión manual de fórmula” y permite diagnosticar u orientar hacia la causa de la leucocitosis.
- Las causas de la leucocitosis se pueden clasificar en enfermedad hematológica o, más frecuentemente, causa no hematológica (reactiva a una enfermedad de base, infección…).










