¿Qué es la osteosíntesis?
Se denomina osteosíntesis a la unión quirúrgica de los fragmentos de un hueso fracturado mediante elementos (generalmente metálicos) diversos. También se la denomina fijación interna y su objetivo es restaurar la anatomía y funcionalidad del sistema musculoesquelético dañado lo antes posible. Es decir, dar la estabilidad a la fractura para iniciar movilidad y rehabilitación rápidamente.
Material de osteosíntesis
El material de osteosíntesis está formado por los elementos que podemos utilizar para unir y fijar los fragmentos de hueso fracturados. El material empleado no debe provocar ningún tipo de efecto adverso sobre los tejidos como irritación química, eléctrica o mecánica.
¿De qué están hechos los materiales que usamos?
Los materiales con los que se fabrican estos elementos son materiales biocompatibles como el titanio. Otros metales que podemos usar y que tampoco suelen provocar efectos adversos son el acero inoxidable y el vitalio.
¿De qué materiales disponemos, qué opciones tenemos?
Entre los diversos tipos de materiales de osteosíntesis encontramos los siguientes:
- Arandelas y grapas: este tipo de elemento se utiliza en osteotomías (corte parcial de un hueso y adición o sustracción de una cuña de hueso para corregir la deformidad), artrodesis (fijación de dos piezas óseas anclando una articulación) y en la fijación de fracturas.
- Agujas: aunque existe una variedad de tamaños y formas, las agujas más utilizadas son las agujas de Kirschner (K). Son las más delgadas y lisas y pueden utilizarse en fijadores externos, temporales o permanentes en fracturas o guías para la introducción de tornillos.
- Alambres: los tipos principales son los cerclajes y las bandas de tensión. Pueden ser utilizados como elemento único o con mayor frecuencia, combinados con otros elementos de fijación como los tornillos y las agujas K.
- Tornillos: son uno de los materiales de osteosíntesis más utilizados. Se utilizan para la fijación de placas al hueso o solos para fijar fragmentos de fractura.
- Placas: fabricadas en titanio o acero inoxidable, se colocan sobre la superficie ósea y se aseguran con tornillos. Se utilizan sobre todo en fracturas de huesos largos.
- Clavos intramedulares: introducidos en la década de 1940, este tipo de material está diseñado para la colocación intramedular en huesos largos, tales como el fémur, la tibia o el húmero.
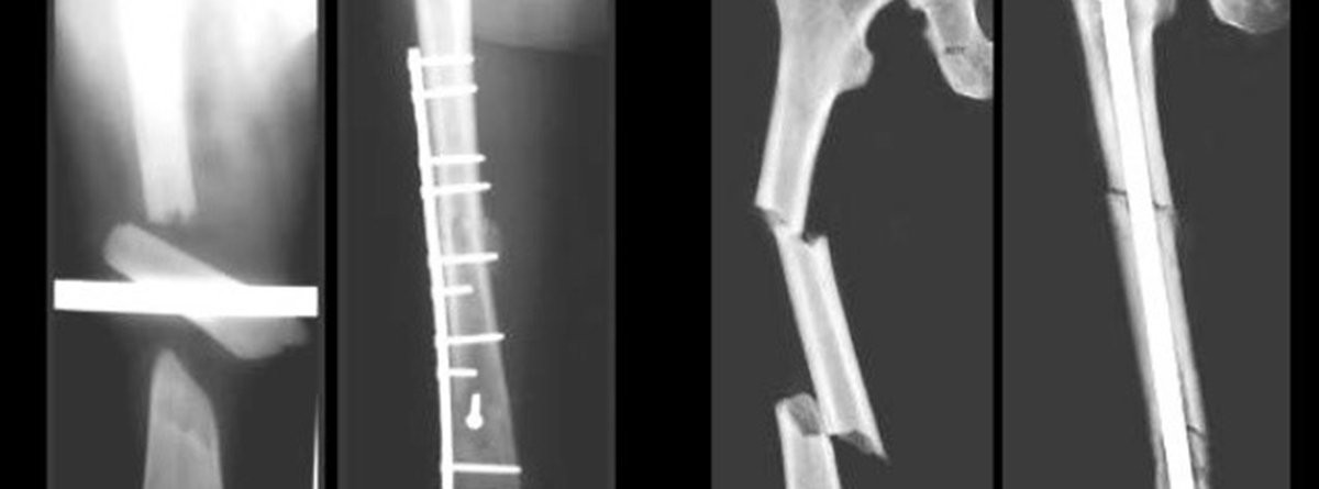
En estas imágenes vemos una fractura de fémur tratada con placa atornillada y otra con un clavo que va por dentro del hueso. Utilizar uno u otro sistema depende de la fractura.
¿Cuándo se utiliza el material de osteosíntesis?
Lo utilizamos sobre todo en el tratamiento quirúrgico de fracturas óseas, sin embargo, también pueden utilizarse en casos de corrección de malformaciones de huesos o de articulaciones que comprometan la funcionalidad de estas estructuras, como son los anteriormente mencionados tratamientos de osteotomías o artrodesis.
¿Se retira el material de osteosíntesis?
La extracción de los materiales dependerá de la valoración del especialista, del tipo de lesión y del tipo de elemento. Las agujas suelen implantarse de manera temporal, mientras que los demás elementos suelen ser definitivos o se retiran una vez consolidada la fractura si provocan molestias.
El material no puede retirarse hasta que los huesos estén perfectamente soldados y consolidados, ya que esto puede producir que la fractura vuelva a presentarse. La retirada debería realizarse entre los 12 y los 18 meses tras la cirugía inicial.
Lo que debes saber…
- La osteosíntesis es la unión quirúrgica de los fragmentos de un hueso fracturado mediante elementos (generalmente metálicos) diversos.
- Los materiales con los que se fabrican estos elementos son materiales biocompatibles como el titanio. Otros metales utilizados y que tampoco suelen provocar efectos adversos son el acero inoxidable y el vitalio.
- El material no puede retirarse hasta que los huesos estén perfectamente soldados y consolidados, ya que puede producir que la fractura vuelva a presentarse. La retirada debería realizarse entre los 12 y 18 meses tras la cirugía inicial.









