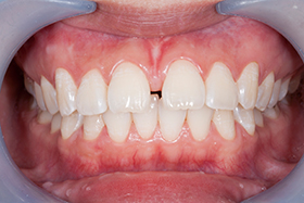
Siempre se ha considerado más bien una imperfección de la naturaleza (normalmente causada por una inserción muy baja del frenillo labial superior), pero estas cosas a veces incluso terminan siendo cool, como es el caso. Actualmente se encuentran ya pacientes que piden tratamiento de ortodoncia para separarse los dientes frontales y así tener lo que se considera un aspecto juvenil.
Desaconsejamos un tratamiento de ortodoncia para separar dos incisivos frontales, no es médico, y el hecho de tener un diastema dental no nos puede aportar más que problemas a nivel oral, con lo que no tiene sentido provocarlo artificialmente.
Grills dentales
Se empezaron a usar en la cultura hip hop, los llamados bling blig (joyería dental). Los empezaron a llevar algunos artistas de este movimiento a principios de los años 80, pero su auge verdadero empezó alrededor de 2005 con Dirty South. Actualmente causan furor en las celebrities más fashion del momento.
Los grills dentales están hechos de metal, normalmente plata, platino u oro, e pueden incluso llevar incrustaciones de piedras preciosas. Normalmente están realizados por joyeros de renombre, lo que todavía les da un toque más cool. Pueden ser de quita y pon pero también los hay permanentes.
Según la Sociedad Dental Americana, si los grills se adaptan bien a los dientes y se llevan de forma intermitente el riesgo de padecer problemas dentales es bajo. Sin embargo, los grills de metales base pueden causar irritación, reacciones alérgicas y las bacterias atrapadas bajo el grill pueden provocar a la larga periodontitis y caries.
LO QUE DEBES SABER…
- La moda de separarse los incisivos superiores para verse más juvenil se desaconseja por causar problemas a nivel oral.
- Los grills pueden causar irritación y reacciones alérgicas.
- Cada vez más compañías ofrecen seguros específicos de salud dental, donde profesionales de odontología velan por la salud de nuestros dientes con todas las garantías.
CUIDA TUS DIENTES
El Seguro Dental de MAPFRE incluye asistencia odontológica gratuita, que permite acceder a cualquier profesional o centro odontológico incluido en la guía concertada a nivel nacional. Además, ofrece acceso a franquicias reducidas en caso de ortodoncia. Para más información sobre este seguro y los seguros de salud de MAPFRE pincha aquí.









