La grasa blanca supone el 20-25% del peso del cuerpo y es un reservorio de energía. La grasa parda tiene como función principal la termorregulación, es decir, generar calor en respuesta al frío exterior.
¿Qué es la grasa blanca?
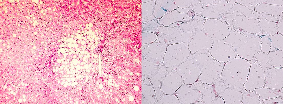
La grasa blanca es la mayoritaria, supone el 20-25% del peso del cuerpo y es un reservorio de energía, una acumulación de ácidos grasos que, en caso de necesidad, se metabolizan para obtener alimento en forma de glucosa para las células. La grasa blanca se acumula principalmente a nivel de la pared abdominal en los hombres y en la zona de las caderas y los glúteos en las mujeres. Una alimentación inadecuada rica en ácidos grasos e hidratos de carbono excesivos hace que aumente la grasa blanca y se dé sobrepeso u obesidad, con los consiguientes riesgos para la salud que eso conlleva, sobre todo a nivel vascular.
¿Qué es la grasa parda?
Por su parte, la grasa parda está más presente en los recién nacidos, donde supone el 5% del total de la grasa corporal, y su porcentaje va disminuyendo a medida que crecemos. La grasa parda se localiza sobre todo alrededor de las arterias renales, del mediastino, de las arterias carótidas, del tiroides y en la zona axilar.
A diferencia de la grasa blanca, la grasa parda tiene como principal función la termogénesis, es decir, generar calor en respuesta al frío exterior. Esto es especialmente importante en los recién nacidos, por uso su proporción es más elevada al nacer. Se llama grasa marrón o parda a causa de su coloración, en contraposición con el color amarillento pálido de la grasa blanca.
Es fácil entender que este tipo de grasa es muy abundante en aquellos animales que hibernan, aportando calor, mientras que de la grasa blanca obtienen nutrientes.
Estudios sobre la grasa blanca y la grasa parda para ayudar al organismo
A causa de las características de la grasa parda, su capacidad para generar calor y el menor riesgo para el corazón y el cerebro que conlleva, hoy en día se están llevando a cabo varios estudios sobre la misma y sobre cómo se podría sacar beneficio de ella. En la región cervical de los niños existen, en promedio, unos 50 gramos de grasa parda, que se activa y desactiva a lo largo del día para generar calor en función de los estímulos térmicos externos, o bien al comer o realizar una actividad física.

Las líneas de investigación se dirigen a descubrir los mecanismos mediante los cuales se activa la grasa parda, de esa manera se podría intentar activar dicha grasa para ayudar a quemar la grasa blanca. Otra vía de investigación es la de convertir la grasa blanca en grasa parda para que ésta puede ser regulada y “quemada” mediante estímulos térmicos o la actividad física con mayor facilidad; estudios sobre dos hormonas, la irisina y la FGF21, han dado prometedores resultados sobre la conversión de grasa blanca en grasa parda. Mientras que 50 gramos de grasa blanca acumulan 300 Kcal de energía, la misma cantidad de tejido adiposo pardo es capaz de quemar esa misma cantidad de kilocalorías en 24 horas.
¿Se puede adelgazar ingiriendo más grasas?
Los científicos que estudian la grasa parda consideran que, si se pudiese activar a voluntad la grasa parda, supondría que se podrían ingerir más grasas sin miedo a engordar. No obstante, eso podría suponer un consumo de energía excesivo, se generaría calor y aumentaría la temperatura corporal, con lo cual el cuerpo buscaría compensarlo. ¿Cómo? Sudando sin parar para eliminar calor con la traspiración del sudor sobre la piel, lo cual puede ser un inconveniente importante.
Asimismo, aunque quemar calorías innecesarias y que no se acumulen en forma de grasa es a priori una buena idea, los agentes farmacológicos que se estudian y que pueden inducir este efecto no están exentos de riesgos y los efectos secundarios son uno de los principales escollos de la investigación, así como la escasa cantidad de grasa parda en los adultos, donde hay un adipocito marrón por cada 200 de grasa blanca.
Falta más investigación…
No están claros los mecanismos que hacen que las calorías que ingerimos se conviertan en grasa parda o blanca, no tenemos ningún mecanismo de control al respecto. Por ese motivo, otras de las líneas de investigación se centran en lo que sí podemos controlar, como la nutrición, la actividad física o las intervenciones ambientales o terapéuticas y cómo estas modifican la presencia y la actividad de la grasa parda.
Algunos investigadores han comprobado que las personas adultas con una mayor proporción de grasa parda tienden a ser más delgados, dado que esta grasa incrementa el consumo metabólico basal, es decir, el gasto de calorías que precisa una persona para vivir cada día, evitando pues la acumulación de grasa blanca.
Con todo, estos estudios están todavía en fases muy preliminares y no es fácil extrapolar a los humanos los resultados obtenidos con ratones u otros mamíferos que poseen una mayor cantidad de grasa parda. Los mismos investigadores consideran que será preciso todavía algo más de una década para ver resultados.
- La grasa blanca supone el 20-25% del peso del cuerpo y es un reservorio de energía. Se acumula principalmente a nivel de la pared abdominal en los hombres y en la zona de las caderas y los glúteos en las mujeres.
- La grasa parda tiene como función principal la termorregulación, es decir, generar calor en respuesta al frío exterior. Se localiza sobre todo alrededor de las arterias renales, del mediastino, de las arterias carótidas, del tiroides y en la zona axilar.
- No están claros los mecanismos que hacen que las calorías que ingerimos se conviertan en grasa blanca o parda, no tenemos ningún mecanismo de control al respecto.









